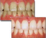
審美歯科 ~白い歯~
美しく、白い歯を手に入れるにはいくつかの方法があります。
それぞれの治療には長所と短所があり、主治医とよく話し合い計画を立てましょう。
【代表的な審美歯科の治療メニュー】
ホワイトニング … 手軽に行なう事ができます。
セラミッククラウン … 審美性が抜群です。
ラミネートベニア … 付け爪のような感覚で歯を白くできます。
これらの治療は、保険適用外の治療ですが、材質や治療法の規制がない分、保険適用の治療より、審美性や耐久性を追及した治療が可能です。
ご自身がそれらの治療についてある程度の知識を持ち合わせていた方が術後のケアを含め、歯を丈夫で長持ちさせる事ができるので遠慮なくお問い合わせください。
TEL:072-237-6480 山下(院長)まで
ホワイトニング
ホワイトニングの一番の特徴は、歯を気軽に白くする事ができる事です。
当院で取り扱うホワイトニングは、ご自宅で行なうタイプのホームホワイトニング。
では、ホームホワイトニングにはどのような特徴があるのかを見ていきましょう。
特徴1・歯を痛めずに行なえます
ホワイトニングは、審美歯科に分類されます。
審美歯科とは、文字通り歯を白く美しくするための歯科治療であり、それには様々な治療法があります。
ホワイトニングは、歯を削る必要がなく、手軽に歯を白くできます。
特徴2・いくつかあるホワイトニングの方法
ホワイトニングには大きく分けて二種類のホワイトニングがあります。
(1)オフィスホワイトニング
利点・その場で短時間に歯を白くできます。欠点・後戻りが比較的すぐ発生する、歯の色調をコントロールできない。
(2)ホームホワイトニング
利点・白さが比較的長持ちする、色調をある程度コントロールできる。欠点・白くなるまで二週間~四週間程かかる
当院では、ホームホワイトニングを取り入れています。
理由は、歯の白さを長持ちさせ、歯の色調をある程度コントロールする事ができるからです。
注意>歯の色調は、完全にはコントロールできません。詳しくはお問い合わせください。
特徴3・ホームホワイトニングはご自宅でできます
ホームホワイトニングは、専用のトレーを作製し、ご自宅で行います。
寝る前などのお時間を利用して行なえるので、ご自分のペースで行なえます。
ホームホワイトニングの手順
(1)まず、虫歯や歯周病などの治療を終えている事が前提になります。
虫歯や歯周病が進行している場合、治療をせずにホワイトニングを行なう事はできません。その場合、まずは基本的な治療を優先させる必要があります。
(2)ホワイトニング前には、茶渋などの歯の汚れを落とします。
ホワイトニングを希望される方の中には、歯の汚れを落とすだけで歯が白くなったと満足される方がいらっしゃいます。日々食事をされる中で、必ず歯にはお茶やコーヒー、タバコのヤニなどが付着します。ますは、それらを綺麗に落としてみましょう。
(3)専用トレーを作製し、薬剤を浸し、就寝前などに装着します。

※まれに、トレー装着中にしみる場合があります。
しみるのが酷い場合は使用を中止してください。
セラミッククラウン
セラミッククラウンにはいくつか種類があり、それぞれ特性があります。
オールセラミッククラウン
金属を一切使わず、セラミックのみで歯を修復します。光の透過性が良く、自然で美しい歯を望まれる場合、これらがおすすめです。
欠点:充分な強度を誇るが、固いものを強く噛むと割れる場合がある。そのため奥歯には不向き。

メタルボンドクラウン
金属の表面にセラミックを焼き付けて制作します。オールセラミックに比べると透明性が若干損なわれますが、高い強度を誇るので奥歯でも使用する事ができます。
欠点:高い審美性を誇るが、セラミックと比較すると若干透明感が劣る。

その他、比較的安価に白い歯を手に入れられる「ハイブリッドセラミッククラウン」、また白い歯ではありませんが、金で制作する「ゴールドクラウン」などがあります。
「ハイブリッドセラミッククラウン」は、色調や透過性が若干他のセラミック系のクラウンより劣ります。また、数年で変色する場合が多いのですが、コストパフォーマンスに優れています。
「ゴールドクラウン」は、主に奥歯に使用します。金という素材の特性上、金属アレルギーの心配も少なく、丈夫で長持ちするので人気です。
ラミネートベニア
「薄い」付け爪のような治療
ホワイトニングでも消えない歯の白濁や縞模様を消したい方。
セラミッククラウンのように大幅な歯のイメージチェンジを望まないが、綺麗にしたいという方におすすめの治療です。ラミネートベニアの最大の特徴は、歯のダメージを最小限に抑える事ができる点です。
ラミネートベニアは、セラミックで作った薄い歯を歯の表面に貼り付ける付け爪のような治療法です。
歯並びを美しく見せる事も可能で、安全性が高いのが特徴です。
治療期間は、最短2回の通院ですみ、金属非使用なので歯ぐきにやさしく、磨耗や変色の心配がないのが特徴です。
耐久性についても、日常生活を送る上で、特に神経質になる必要はございません。もちろん、ラミネートベニアが割れてしまう事が全くないという事はありませんが、それはどのような歯であっても同じ事です。
治療に際して、神経を取らなければいけないという事もないので、この治療が気になる方は一度ご相談ください。













